
画像表示機能
- Bilinear/Bicubic補正表示機能
- 各種配置モード(左寄せ/中央/右寄せ、上寄せ/中央/下寄せ)
- ストレッチ表示/ズーム表示モード
- 倍率指定によるズーム表示機能
- 矩形指定による表示部分の移動/ズーム表示機能
- 背景色の設定機能
- 輝度・コントラスト・ガンマ調整機能
- RGB LUT設定・取得機能
- 8g/16g画像のウィンドウレベル(中心・幅・ガンマ)調整機能
- 表示ウィンドウの部分領域表示機能
- 16x8 LUT設定・取得機能
- 表示画像のヒストグラムの抽出
- 各種LUTの表示制御
- 複数ウィンドウレベル設定のサポート
- オーバーレイ情報の表示制御
- 反転表示
- フィルタ変換表示(シャーペン/スムージング/アンシャープ/カスタム)
- 擬似カラー表示
- 9〜16ビットグレースケール表示画像の出力
- MPR/MIP/MinIP/RaySum表示機能
- メモリデバイスへの表示出力
- ズーム演算の中心指定が可能
補正表示モード
16ビット画像データのウィンドウレベル調整
擬似カラー表示
波形データの表示
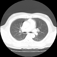
MPR表示について
CTやMRIなどの医療機器によって生成されたスライスシリーズ画像を表示する場合、MPR(多断面再構成)表示法は、非常に有効な読影方法であり、特に任意角度の斜断面画像の再構成(Oblique)表示法は、臨床診断に非常に有用かつ重要な読影手法となっています。
ImageClarityのMPR表示機能は、エンジンレベルで実現したもので、任意空間原点と任意3D方向の断面を表示することが可能になっており、補正表示をしながら実用レベルの高速表示を実現し、3D処理開発キットとしても非常に利用しやすいAPIを提供しています。 MPR以外に、任意サイズのMIP(最大値投影)表示法もサポートしています。
MPR/MIP表示
高精細表示サポート
医用画像表示専用の10ビットや12ビットグレースケール高精細液晶モニタを利用する場合に、表示装置の入力ビット数に合せた高ビット数の画像表示データを出力することが可能です。
また、特定メーカの表示装置を利用する場合は、表示API関数によって、自動的に高ビット数で画像データを表示することができます。
ImageClarityの高精細表示機能は、ImageClarityのほとんどの強力な表示機能をサポートしています。
高精細表示の原理

ImageClarityは、「高精細出力モード」を持っています。 この出力モードは、DICOM画像特有の階層情報をより忠実に表示できます。 通常出力モードの場合、8ビット以上の階層情報を持っている画像でも、一旦8ビットに変換してから出力しているのに対し、高精細出力モードの場合、高精細モニターがサポートできるビット数に併せて変換することにより、多くの階層情報を保つことが可能になります。














